当院では獣医皮膚科学の最新の知見を元に、一歩進んだ皮膚科治療をします。
HOME ≫ 皮膚科診療 ≫
皮膚科診療
当院の皮膚科治療コンセプト
- 治療により完治する病気は完治させる
- 治療により症状が緩和するが一生つきあっていかなければならない病気(体質)とは上手に付き合っていく方法をさがす。
皮膚疾患の原因は、感染性、アレルギー性、内分泌性、腫瘍性、自己免疫疾患など様々です。 膿皮症や皮膚糸状菌症など原因が「感染性」の場合は完治が見込めますが、犬アトピー性皮膚炎、猫のアレルギー性皮膚炎など原因が「アレルギー性」の場合は完治することはなく一生付き合っていかなければなりません。
なかなか治らない場合や治ってもすぐ再発する場合は漫然と同じ治療を継続するべきでなく、診断が間違っていないか、治療が適切か、体質や全身状態の評価をしているかなど見直しをする必要があります。
当院は獣医皮膚科学術大会や海外研修、皮膚科症例の執筆や発表の活動で得た知見を元に有効な治療法や管理方法をご提案いたします。
かゆみや脱毛など皮膚・耳疾患でお困りの場合は当院にご相談ください。
皮膚疾患の診断方法
獣医皮膚科の診断方法は、問診と身体検査で皮膚疾患を予測し、診断を裏付けるための必要検査をします。
理想的には皮膚疾患を確定診断し、動物の性格や飼育環境、ご家族の希望を考慮の上、最適な治療法を選択します。
初診時に診断できない場合は、治療反応をみながら方針を調整していきます。
難治性症例や慢性症例では内分泌検査や皮膚生検など特殊検査が必要なことがあります。
問診
- 種類、性別、年齢、皮膚疾患の初発年齢
- 食べ物、散歩のコース、同居動物がいるか
- かゆみの程度、飼い主の皮膚炎の有無
- 過去の治療反応
※問診のみでおおよそ診断が可能なこともあります。
身体検査
- 発疹の種類、分布、被毛の状態、全身状態
※人の皮膚科医は発疹の種類で80%診断できるといわれます。
獣医皮膚科でも発疹は非常に重要です。専門的な知識があれば発疹を見極め、どんな皮膚疾患か推測できます。
顕微鏡検査
- 皮膚スタンプ検査(発疹をスライドガラスで押し付け、病巣の細菌や炎症細胞を調べます)
- 皮膚スクレープ検査(発疹を鋭利な器具でこすり、外部寄生虫や皮膚糸状菌を調べます)
- 抜毛検査(ニキビダニや皮膚糸状菌の有無、毛の成長状態などを調べます)
培養感受性検査
病巣から採取した細菌や真菌を培養して菌種を同定し、効果的な薬剤を選択します。
感染かどうかわからない場合、感染が疑われるが治療反応が悪い場合に実施します。
全血球検査・血液化学検査
腎臓や肝臓など内臓器の状態を血液検査で評価します。
皮膚疾患の基礎的要因として、全身の免疫力低下が疑われる場合、難治性症例の場合などに実施します。
超音波検査
胸部や腹部の腫瘍の有無、内臓器の腫大など評価します。
腫瘍性皮膚疾患、内分泌疾患を疑う場合などに実施します。
内分泌検査
血液中の甲状腺ホルモン値や副腎皮質ホルモン値を測定し内分泌疾患を評価します。
かゆみが少ない左右対称性の脱毛が認められる場合は内分泌疾患を鑑別する必要があります。
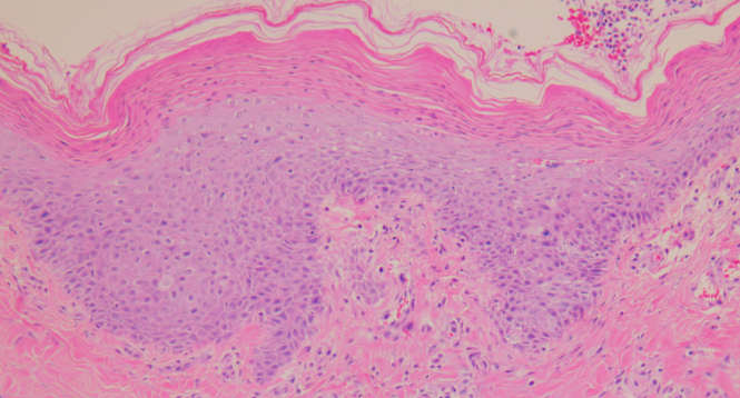
皮膚生検
局所麻酔または全身麻酔下で皮膚の一部を切り取って皮膚病理検査をします。
皮膚腫瘍や自己免疫性皮膚疾患など皮膚生検でしか診断できない疾患に有効です。
生検する部位、タイミング、採材した組織の取り扱い方法など専門的な知識がないと診断の精度が下がります。
アレルギー検査(血清特異的 IgE検査)・リンパ球反応検査
室内塵や花粉などの環境要因や特定の食物に対するアレルギー体質がないかを血液検査で調べます。
鶏肉に対して陽性であれば鶏肉は控えるなど、結果に基づき検査項目ごとに対策をします。
ただし、必ずしも、陽性=アレルギー性皮膚炎ではないため結果の解釈は総合的に行います。
皮膚疾患
膿皮症
犬で最も多い皮膚疾患です。
皮膚の細菌(多くはブドウ球菌)が異常に増殖し、炎症や化膿を起こします。発疹の程度に比例したかゆみが生じます。人や犬に移る疾患ではありません。
他の疾患との併発、再発も多いため、治療反応が悪い場合は基礎的な原因の精査、治療が必要です。
細菌の増殖が起こりやすくなる原因
- 動物自体の皮膚の問題(アトピー性皮膚炎などの体質、他疾患による皮膚免疫力の低下)
- 衛生的問題(不十分なグルーミングや、頻繁に舐める行為)
- 物理的問題(微小な外傷の多発)
- 医原性問題(不適切な外用薬、痒み止めのステロイド)
治療
抗生剤の内服薬と抗菌シャンプー療法で細菌の増殖を抑える治療をします。
内服薬は回数、用量、期間をしっかり守って内服することで治療期間の短縮と再発の予防効果が得られます。
シャンプーは抗菌成分を含有するものを選択し、25℃~30℃の温度で悪い部分から洗うことがコツです。原則、ステロイドは使用しません。
皮膚糸状菌症
真菌(カビ)の感染症で人や他の動物にも移ります。通常、かゆみがあり、赤い円形の発疹(リングワーム状病変)が特徴的です。
新しく迎えた子猫や子犬から感染するケースが多く、多頭飼育の場合は蔓延しやすいです。
皮膚糸状菌は環境中でも長期生存するため、汚染された環境中から免疫力が低い若い動物や老齢動物、他の疾患と闘病中の動物も感染する可能性もあります。
治療と対策
大部分の健康な動物では無治療でも12週間程で自然治癒しますが、動物の感染時間を短くし、真菌を環境中に飛散しないようにするために治療は必要です。
病変のある部位や程度に応じて、毛刈り、抗真菌シャンプー、外用薬、内服薬で治療します。健康な動物であれば数週間で完治します。
皮膚糸状菌は環境中でも長期生存するため清浄化が必須です。
まずはなるべく高性能の吸気・排気フィルターがついた掃除機で掃除します。その後、塩素系漂白剤を浸透もしくは噴霧して消毒します。塩素系漂白剤は皮膚糸状菌に有効だと認められ安価です。ただし、動物には刺激が強いため使用できません。衣類やカーペットは漂白されるので注意してください。アルコールや石鹸などは無効と報告されています。
犬のアトピー性皮膚炎
遺伝的な体質があり、環境中の花粉や室内塵などのアレルゲンに暴露されるとアレルギー反応が起こり、かゆみを特徴とする皮膚炎です。かゆくなければアトピー性皮膚炎ではありません。
初発年齢は3歳以下が90%です。発症初期は、春はかゆく、冬はかゆくないなど季節性がありますがやがて通年性になります。脇、内股、足先、顔に症状が出やすく、外耳炎も起こしやすくなります。
犬の種類や発症年齢、発症部位、季節性の有無、ステロイドに対する治療反応、他疾患の除外など総合的に判断します。
原因が体質なので基本的に完治しません。
治療と管理方法
目標はかゆみを0にすることではなく、かゆみを犬と飼い主双方が許容できる程度にすることです。
多少かゆくても、多少発疹があっても、生活に支障がなければOKです。
犬の性格や飼育環境、飼い主のやる気や希望を考慮して様々な治療を組み合わせて総合的にかゆみを減らします。
免疫療法
ステロイド剤、免疫抑制剤、抗ヒスタミン剤などを使用し、アレルギー反応を抑制します。ステロイド剤は安価で効果的ですが長期投与では副作用が生じます。投薬量・期間、治療反応、全身状態などの評価が必要です。
環境改善
飼育環境中の室内塵や花粉などのアレルゲンからできる限り回避させます。アレルゲンの温床となりやすいカーペットをこまめに洗浄・除菌したり、高性能フィルターがついた空気清浄機を設置するなどします。
シャンプー療法
身体に付着したアレルゲンを洗い流し、皮膚のバリア機能を高めます。アトピー性皮膚炎の犬は皮膚が弱いので、保湿成分や抗炎症成分を含有する薬用シャンプーを使用します。
減感作療法
唯一の根本的治療です。週に1回アレルゲンを5~6回接種し、それまで拒絶していたアレルゲンを許容できるような体質に改善します。特定の条件を満たせば減感作療法の対象となり、治療により症状の緩和が期待できます。
猫のアレルギー性皮膚炎
食事やノミ、環境要因にアレルギー反応を起こし、かゆみと炎症が生じます。遺伝的背景やバリア機能低下など詳しいメカニズムは明確に解明されていません。猫の皮膚疾患はそれほど多くありませんので、下記のフローに基づき診断します。
治療
治療は試験的なノミの駆虫や食事療法を行い、改善に乏しい場合はステロイド剤や免疫抑制剤を主体に薬物療法を行います。患者さんが毛深いので外用薬を塗るとベタベタになり、余計に舐めることが多いため内服薬が主体になります。発症部位によっては外用薬で治療できます。長期作用型ステロイドの頻繁な使用は糖尿病などの他疾患のリスクになるため注意が必要です。また、「楽しい」、「気持ちいい」、「うれしい」環境を用意してあげるとかゆみ行動が減ることがあります。
猫の精神療法
快適な睡眠
ハウスの環境(暖かさと涼しさ、柔らかさと涼しさ)
設置場所(風通し、日当たり、景色)
排泄
清潔で静かな使いやすいトイレ
遊び
捕獲に相当した遊び(ねこじゃらし、肉をつけたひも)
探索
窓からの眺め(小鳥、人や動物を見下ろす)
小鳥のさえずり、そよ風など快適な刺激








